Seitenbereiche:
  • zum Inhalt [Alt+0]
  • zum Hauptmenü [Alt+1]

  • Männer
    • Kraftquellen
    • Kraftstoff
    • Podcast
    • Männertage
    • Bücher für Männer
  • Väter
    • Vatertag
    • Vater Kind Wochenenden
    • Vater Kind Aktionen
    • Vätergeschichten
    • Erlebniswelt Kindergarten
  • Glaube
    • Kreuz- und Lebensweg
    • Biblische Begleiter
    • Franz Jägerstätter
    • Perlen des Lebens
  • Veranstaltungen
  • Über uns
  • Mitgliedschaft
  • Shop
Hauptmenü:
  • Männer
    • Kraftquellen
    • Kraftstoff
    • Podcast
    • Männertage
    • Bücher für Männer
  • Väter
    • Vatertag
    • Vater Kind Wochenenden
    • Vater Kind Aktionen
    • Vätergeschichten
    • Erlebniswelt Kindergarten
  • Glaube
    • Kreuz- und Lebensweg
    • Biblische Begleiter
    • Franz Jägerstätter
    • Perlen des Lebens
  • Veranstaltungen
  • Über uns
  • Mitgliedschaft
  • Shop

Hauptmenü ein-/ausblenden
Geschichten
Sie sind hier:

    Inhalt:
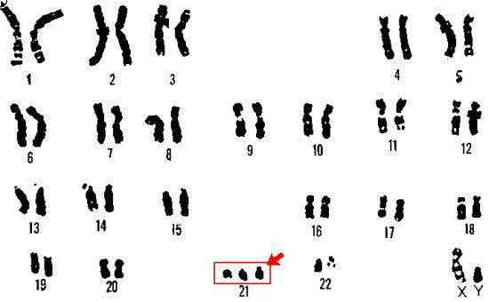
    Trisomie 21

    Ich habe Glück

    Ich gebe es zu: Ich habe Glück. Meine Frau und ich sind uns schon in den kleinen Fragen des Erziehungsalltages fast immer einig. Wofür man aber gar nicht dankbar genug sein kann: Bei den großen Fragen, die einem das Leben mit Kindern so stellt, passt zwischen uns kein Blatt Papier.

    mehr: Ich habe Glück
    Baby auf der Wickelkomode

    Shit happens! Or why does shit allways happen to me?

    Nach der Geburt eines kleinen Kindes ist das Erste was Vater lernen muss natürlich das Wickeln. Liegt die kleine heute still? Pinkelt sie mal wieder? Ach es sind die Kleinigkeiten an denen Vater scheitert und verzweifelt. Natürlich freut sich auch die Verwandtschaft (in meinem Fall die Geschwister) über die Geburt des Familienneulings (in unserem Fall der Tochter Miriam) und sie kündigt ihren Besuch an.

    Geöffnete Waschmaschine

    Lavere aude! Habe Mut dich deiner Waschmaschine zu bedienen

    Wir leben in unserem Vierpersonen-Haushalt meinem Empfinden nach eine gute Aufteilung von Erziehungs- und Erwerbs- und andern Pflichten. Unsere Aufgaben-Score-Cards sind ausbalanciert. Ich scheue hier auch keinen Benchmark!
    Allerdings gibt es eine Sache, vor der hab ich mich immer gefürchtet. Alleine schon das Denken an die Konsequenzen unsachgemäßer Handhabung lösen bei mir unkontrollierbaren Angstschweiß aus.

    mehr: Lavere aude! Habe Mut dich deiner Waschmaschine zu bedienen
    Spielplatz

    Der mitgemeinte Papa

    Alle Viere unter der Haube, sozusagen. Zwei ganz offiziell und auch bereits mit Nachwuchs gesegnet, Zwei noch nicht amtlich, aber so gut wie verheiratet. Alle Viere mit losem Kontakt zu uns Eltern. Aber wenn, dann wird die Mama kontaktiert. Der Papa ist mitgemeint,“ ihr redet eh miteinander“. 

    mehr: Der mitgemeinte Papa
    Vertrauen haben

    Vertrauen haben

    Es sollte ein gemeinsamer Schitag werden mit unseren zwei Söhnen. Der eine war neun Jahre, der zweite schon elf Jahre alt. Gute Schifahrer waren wir alle nicht,  aber das gemeinsame Tun gefiel uns.

    mehr: Vertrauen haben
    Wenn der Vater mit dem Sohne …

    Wenn der Vater mit dem Sohne …

    Ich hatte viel davon gehört und mich schon richtig darauf gefreut. Meinem Gegenüber ging es ähnlich, er war noch aufgeregter als ich.

    Nie zuvor hatte es eine Gemeinsamkeit gegeben, die wir so heftig verfolgt hatten.

    mehr: Wenn der Vater mit dem Sohne …
    Schmerzhafte Freiheit

    Schmerzhafte Freiheit

    Der 2. September war der große Tag für Clara (21 Monate). Das erste Mal weg von zuhause und die Krabbelstube erobern. Clara war sehr aufgeregt und freute sich schon darauf, die anderen Kinder kennenzulernen.

    mehr: Schmerzhafte Freiheit
    • zur ersten Seite
    • vorherige Seite
    • Seite 1
    • Seite 2
    • Seite 3
    • ...
    • Seite 8
    • Seite 9
    • Seite 10
    • nächste Seite
    • zur letzten Seite

    nach oben springen
    Footermenü:
    • Männer
    • Väter
    • Glaube
    • Veranstaltungen
    • Über uns
    • Mitgliedschaft
    • Shop

    Impressum | Datenschutz | Cookie-Richtlinie

    kmb@dioezese-linz.at
    +43 732 7610-3461, Fax -3779
    Kapuzinerstraße 84, 4020 Linz
    nach oben springen